
▲新製品「ポケットエコー miruco CL5」
医療、スポーツ、ウェルネスの分野で人々の身体活動を支援する日本シグマックス株式会社(本社:東京都新宿区 代表取締役社長:鈴木洋輔)は、『いつでも、どこでも、すぐに診る』のコンセプトを前機種から継承し、新たな機能を搭載し幅広い診療ニーズに対応可能な超音波画像診断装置「ポケットエコー miruco(ミルコ) CL5」を2025年2月3日(月)より新たに発売いたします。
■医療現場のタスクシェア・業務効率化とエコー活用の普及を目指し、「ポケットエコー miruco」を発売
日本シグマックスは、2016年に『いつでも、どこでも、すぐに診る』を製品コンセプトとしたタブレット型の超音波画像診断装置「ポケットエコー miruco」を発売いたしました。

▲エコーセミナーの様子
この製品は、コンパクトな設計でリーズナブルな価格帯、そして最小限の機能による直感的でシンプルな操作性を兼ね備えており、製品を通じて医療現場におけるタスクシェアや業務効率化に貢献してまいりました。
また、エコー診療の知識習得とスキル向上の場の提供や、看護師を中心とした医療従事者によるエコー活用の普及活動にも取り組んでおります。医療従事者向けエコーセミナーでは、エコーを扱ったことのない初心者の方から日常診療で使われている上級者の方まで、それぞれのレベルに合わせたセミナーを実施しています。
「ポケットエコー miruco」は、診療科目問わず、また医師だけでなく看護師などの医療従事者の皆さまにご愛用いただき、おかげさまで2024年12月末までの累計販売台数が4000台を超えております。
■在宅医療をはじめとするシーンで必要な機能をさらに搭載した「ポケットエコー miruco CL5」
国内では高齢化社会が進み、病気や加齢による身体の衰えなどによって医療機関への通院が困難な患者の増加に伴い、自宅にいながら治療を受ける「在宅医療」のニーズが高まっています。
このような医療現場において、ポータブルエコーは円滑な診療をサポートする重要なツールとなっております。特に誰もが場所を選ばず使えるほどのコンパクトさや手頃な価格、そして正確かつ迅速な診断のための機能が求められています。
こうしたニーズに応えるため、「ポケットエコー miruco」の製品コンセプトである『いつでも、どこでも、すぐに診る』を継承し、『お求めやすい価格帯』『どこでも使える利便性』という特長を維持しつつ、新たにデュアルプローブ、ドプラ機能などを搭載し、より使いやすい設計で幅広い診療ニーズに対応可能な「ポケットエコー miruco CL5」を新たに発売する運びとなりました。

▲幅広いシーンで活用可能
「ポケットエコー miruco CL5」は、1台で多領域・多部位への使用が可能であり、ケーブルレス設計により取り回しの容易さを向上させております。また、2時間の連続動作時間を実現しており日常診療のほか訪問診療、スポーツ現場など院外環境においてもご利用いただけます。
医療現場での利便性をさらに向上させ、診療の質を向上させるための有力なツールとして医療従事者の皆さまをサポートいたします。
■ポケットエコー miruco CL5 製品特長
1.デュアルプローブとドプラ機能搭載
コンベックスとリニアプローブを一体化したデュアルプローブと、血流を視覚的に表示するドプラ機能の搭載により、1台で幅広い領域/部位へ使用可能。

▲プローブ画像

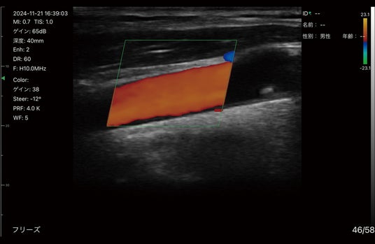
▲カラードプラ使用イメージ(頸動脈)
2.診療スタイルに合わせて表示器サイズの選択が可能、ケーブルレス仕様により取り回しの良さを向上
周辺を気にすることなく取り回しが可能なケーブルレス仕様で、表示器を自由な位置に設置することも可能。
また、自身の診療スタイルに合わせて表示器のサイズを選択できます。※

▲表示器は自由に選択可能(スマートフォン)

▲表示器は自由に選択可能(タブレット)
※セット品にタブレットやスマートフォンなどの表示器は含まれません。表示器はiOSのスマートフォン、タブレットをご用意ください。
動作環境:iOS 12.0以上またはiPad OS12.0以上。iPad、iPhone、iOS、iPad OSはApple Inc.の商標です。
※Androidでは動作を保証しておりません。AndroidはGoogle LLCの商標です。
3.2時間の連続動作時間で院外での使用時も安心
フル充電で約2時間と、長時間使用を実現。
病棟、往診、訪問看護など、使用シーンや場所を問わずいつでもどこでも使用することができます※。
※プローブを充電しながらの使用はできません。連続動作時間は温度環境やバッテリーの使用年数によって変化します。

▲使用シーンのイメージ(病棟)

▲使用シーンのイメージ(訪問看護)
【搭載機能】
・カラー・パワードプラー
・領域別のプリセット
・パルスドプラ
・穿刺ガイド
・2画面表示
・各種計測・容積計測
・防水・防塵性:IPX5

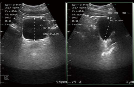
▲容積計測機能使用イメージ(膀胱)
■ポケットエコー miruco CL5 製品情報
・販売名:ポケットエコー miruco CL5
・一般的名称:汎用超音波画像診断装置
(JMDNコード:40761000)
・医療機器分類:管理医療機器
・医療機器認証番号:306AFBZX00100000
・発売日:2025年2月3日(月)
・メーカー希望小売価格:
本体価格(基本保証1年)…¥495,000(税込)
保証プラン(安心3年サポート)…¥115,500(税込)※本体価格に付加

▲セット品:左から保護カバー、プローブ、USBケーブル、ワイヤレス充電器、超音波ゲル、スタートアップガイド(画像無し)
■ポケットエコー miruco CL5 特集サイト https://www.sigmax-miruco.com/
ポケットエコー miruco CL5 特集サイトでは、製品コンセプト動画、デモ貸出中やユーザー向けの使用ガイド(使用説明動画)、ユーザーの声、描出画像例など、様々なコンテンツを掲載いたします。
※当ページは2月3日(月)より、「ポケットエコー miruco CL5 特集サイト」へ切り替わります。
※国内の医療関係者の方へ情報を提供することを目的としたページです。
■日本シグマックス株式会社について https://www.sigmax.co.jp/
所在地:東京都新宿区西新宿1-24-1
創業:1973年6月1日
資本金: 9,000万円
代表取締役社長:鈴木 洋輔
社員数:241名(2024年3月末)
売上高:127.3億円(2024年3月期)

日本シグマックスは「身体活動支援業※」を事業ドメインとし、幅広いフィールドで人々の身体に関わる製品・サービスを提供しています。創業以来「医療」の中でも「整形外科分野」に特化して、各種関節用装具やギプスなどの外固定材、リハビリ関連製品、冷却療法のためのアイシングシステム、治療・診断のための医療機器など、特徴のある製品を提供してまいりました。「スポーツ分野」ではスポーツ向けケア・サポートブランド『ZAMST』を中心に国内外で高い評価を受けております。また日常生活を支える「デイリーケア」、労働者の身体をサポートする「ワーカーズケア」といった分野で『MEDIAID』ブランド製品を拡大展開しております。
※身体活動支援業:運動器障害の予防・診断・治療・回復、及び運動機能維持・向上を目的とした製品・サービスを提供することにより、人々がより健康で快適な生活を送れるよう支援する業(当社による造語)
企業プレスリリース詳細へ
PRTIMESトップへ

